上顎・下顎のオールオン4
患者様情報
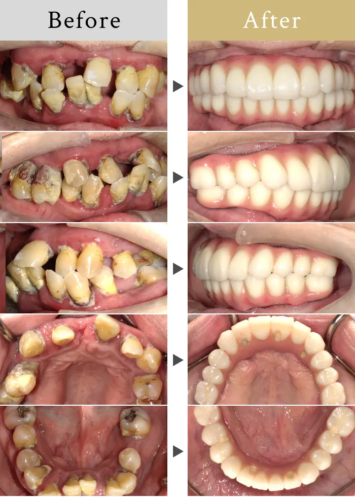
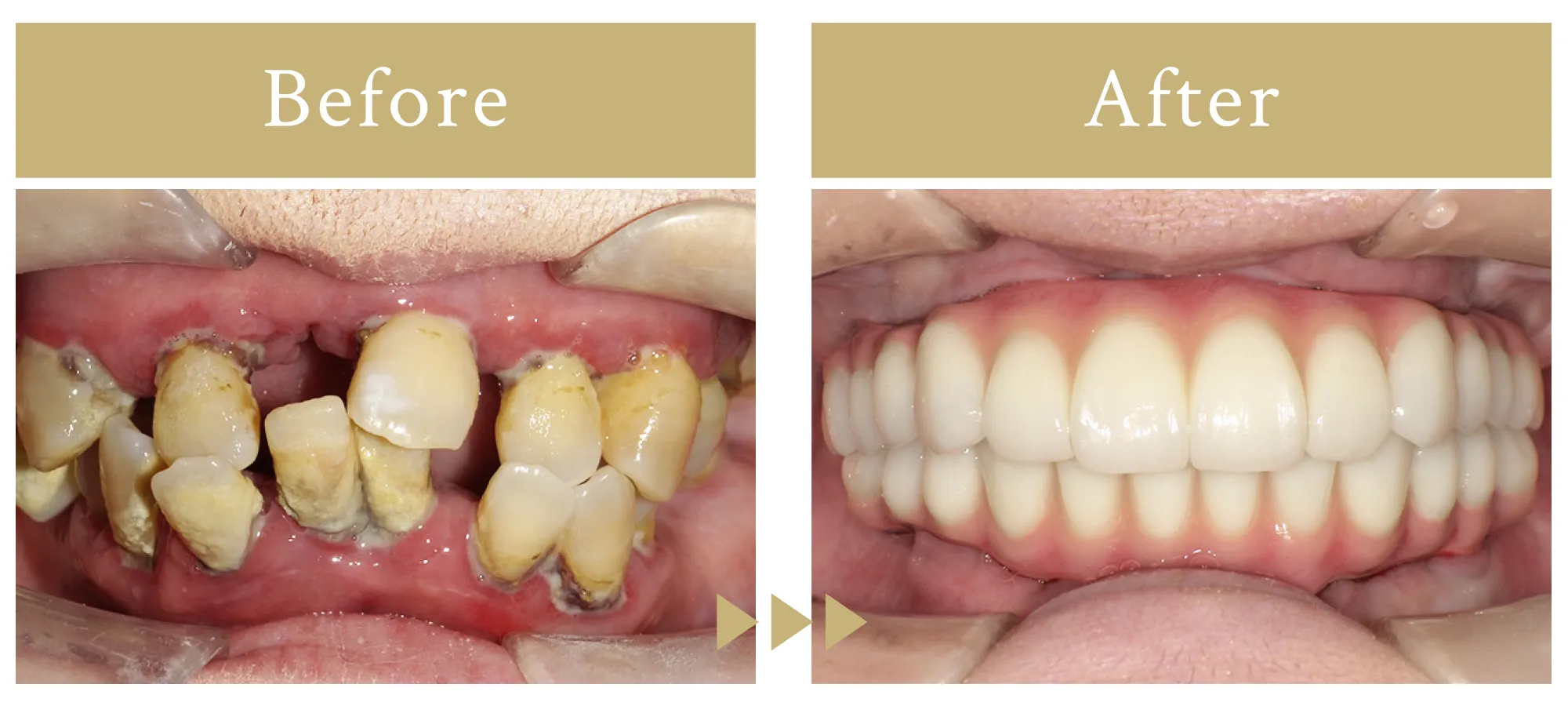
60代男性
患者様のお悩み
全歯動揺と重度歯周病
治療概要
歯科へのトラウマが強く、口腔内に様々な症状がありながらも来院できずにいましたが、前歯喪失がきっかけとなりご来院されました。
口腔内全体の重度歯周病および歯牙動揺がみられ、残存歯もほぼ保存不可能な状態でした。
患者様希望にて上顎下顎ともにインプラント埋入(オールオン4)。
また、全顎治療と並行して口腔衛生状態の改善を図りました。
痛みも腫れも少なく、歯科が怖いと仰っていた患者様は、初日と見違えるような笑顔を見せて喜んでくださいました。
下顎との噛み合わせもよく、食事を楽しめるようになりました。
プラークコントロールも安定し、良好な口腔衛生状態が維持できています。
治療費用・期間
860万円(税込)/1年3ヶ月
リスク・副作用
インプラント周囲炎の予防のため、定期的なメンテナンスが必要。
担当歯科医師

