歯並びだけでなく、 虫歯治療や審美歯科を”トータルプロデュース”
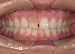
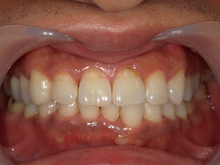
インビザライン矯正ホワイトニング治療概要 インビザライン・ホワイトニング・審美歯科 まず、矯正治療の前準備として、歯のクリーニング、虫歯と銀歯の治療を行い、虫歯治療終了後、目立たない矯正治療「インビザライン」を行いました。 それと同時にご自宅でできるホ […]

治療概要 インビザライン・ホワイトニング・審美歯科 まず、矯正治療の前準備として、歯のクリーニング、虫歯と銀歯の治療を行い、虫歯治療終了後、目立たない矯正治療「インビザライン」を行いました。 それと同時にご自宅でできるホ […]
患者様情報 20代女性 患者様のお悩み 八重歯が気になる、できればマウスピース矯正で治したい 治療概要 インビザライン・マウスピース矯正、ホームホワイトニング 提案内容 歯が並ぶスペースが不足していることで歯列の叢生(で […]
患者様情報 40代女性 患者様のお悩み 古い詰め物の変色、歯の色が気になる 治療概要 ラミネートベニア 提案内容 前歯の古いレジンの詰め物が劣化により変色しており、患者様も見た目の変化を気にしていました。 Cr、ラミネー […]
患者様情報 20代女性 患者様のお悩み 変色したかぶせ物を変えたい 治療概要 詰め物・被せ物 提案内容 中央の前歯の両隣の歯は、元々のレジン前装冠が劣化により変色して周囲の歯との色調の差が出ていたので、色味や形態を天然歯 […]
患者様のお悩み 左上の前歯が腫れて痛い 治療概要 歯根が割れていて、膿も溜まっていたため保存できませんでした。 抜歯後のインプラント、ブリッジの治療法について説明し、選択してもらいました。 前歯のインプラント治療は審美性 […]
患者様情報 50代女性 治療概要 クリーニングにエアフローを併用することで効果的にステイン除去を行いました。 (定期的な検診が必要です) 予防歯科について 治療費用・期間 5,000円/1日 リスク・副作用 出血、一時的 […]
患者様情報 30代男性TY 治療概要 ホームホワイトニングとオフィスホワイトニングを併用したホワイトニングコースです。 ホワイトニングについて 治療費用・期間 12万円/1ヶ月半 リスク・副作用 一時的な知覚過敏、歯肉の […]
患者様情報 70代女性KJ 治療概要 上顎はインプラントオーバーデンチャーにすることで安定性の向上、口腔内の違和感の軽減が実現しています。 下顎は金属床義歯(ノンクラスプタイプ)にすることで口腔内の違和感を軽減させ審美性 […]
患者様情報 70代女性WF 治療概要 一度根管治療を行った歯の症状の再発、再感染に対して精密根管治療を行いました。 (根管治療終了後に補綴治療を行っています。) 精密根管治療について 治療費用・期間 10万円/約20日間 […]
患者様情報 40代女性TC 治療概要 虫歯が進行し、神経が失活・周囲の骨吸収が進んでいる歯に対して精密根管治療を行いました。 (根管治療終了後に補綴治療を行っています) 精密審美補綴について 治療費用・期間 15万円/約 […]
〒220-0011
神奈川県横浜市西区
高島1丁目2-5
横濱ゲートタワー 1F
横浜駅 東口より徒歩5分
新高島駅より徒歩2分
同施設のコインパーキングをご利用ください
現金/クレジットカード/PayPay
| 月 | 火 | 水 | 木 | 金 | 土 | 日 | 祝 | |
|---|---|---|---|---|---|---|---|---|
| 09:30〜13:00 | ● | ● | ● | ● | ● | ▲ | ✕ | ✕ |
| 14:30〜19:30 | ● | ● | ● | ● | ● | ▲ | ✕ | ✕ |
045-264-9222
WEB予約
LINE予約
お電話