220-0011
神奈川県横浜市西区
高島1丁目2-5
横濱ゲートタワー 1F

電話マーク

お電話

メニュー

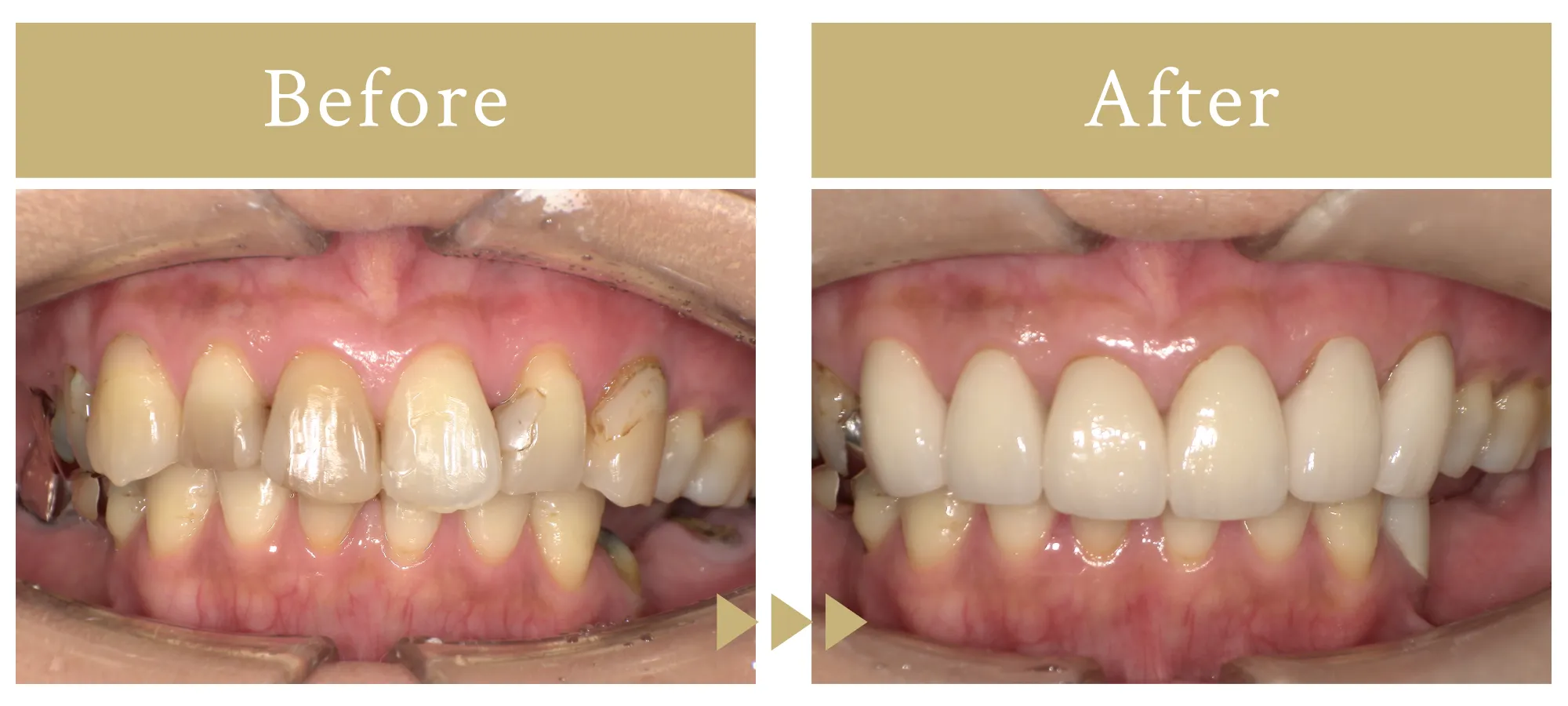
前歯部の虫歯に対しての審美的な補綴治療

前歯部の虫歯に対しての審美的な補綴治療

/

患者様情報

40代女性

治療概要

前歯部の虫歯をジルコニアクラウンにて補綴、審美性を向上させました。

精密審美補綴について

治療費用(税込)・期間

1,067,000円/1ヶ月半

リスク・副作用

一時的な知覚過敏、咬合痛、咬合時の違和感

担当歯科医師

エス歯科クリニック横浜みなとみらい 院長 首藤 真一

略歴 Profile

[資格]
・厚生労働省認定歯科医師臨床研修医指導医
・ノーベルバイオケアサーティフィケート
・J,Hエンドシステムコース 修了
・日本顎咬合学会認定医
・ブローネマルクルインプラントコース 修了
・Jリーグ 横浜FC 公認クラブデンティスト


[所属学会]
日本口腔インプラント学会

ドクターコメント Doctor comment

エス歯科グループでは他院で難しいといわれた症例あるいは、失敗した症例でも数多く成功させてきました。
その医療技術を神奈川全域、ひいては日本全国の歯でお困りの方に提供するため、アクセスしやすい横浜みなとみらいの地を選び開業しました。
皆様の歯にとって「最後の砦」になるべく、先進の医療技術、最先端の医療設備を駆使して治療に臨みます。
他院で難しいといわれた場合でもぜひ相談にお越しください。

Medical

当院は虫歯・歯周病の治療からインプラント、矯正、予防歯科、顕微鏡治療まで幅広い診療項目に対応しています。

美容歯科アイコン

美容歯科

精密根管治療アイコン

精密根管治療

詰め物・被せ物アイコン

詰め物・被せ物

審美歯科アイコン

審美歯科

矯正歯科(歯列矯正)アイコン

矯正歯科(歯列矯正)

一般歯科アイコン

一般歯科

小児歯科アイコン

小児歯科

予防歯科アイコン

予防歯科

精密歯周病治療アイコン

精密歯周病治療

インプラントアイコン

インプラント

スポーツマウスガードアイコン

スポーツ
マウスガード

精密入れ歯アイコン

精密入れ歯

エス歯科クリニック 横浜みなとみらい

住所

220-0011
神奈川県横浜市西区
高島1丁目2-5
横濱ゲートタワー 1F

最寄駅

横浜駅 東口より徒歩5分
新高島駅より徒歩2分

駐車場

同施設のコインパーキングをご利用ください

支払い方法

現金/クレジットカード/PayPay

09:30〜13:00
14:30〜19:30
お電話でのお問い合わせ

045-264-9222

ご予約はこちら
WEB初診予約

BACK TO TOP

WEB予約アイコン

WEB予約

LINE予約アイコン

LINE予約

お電話アイコン

お電話