220-0011
神奈川県横浜市西区
高島1丁目2-5
横濱ゲートタワー 1F

電話マーク

お電話

メニュー

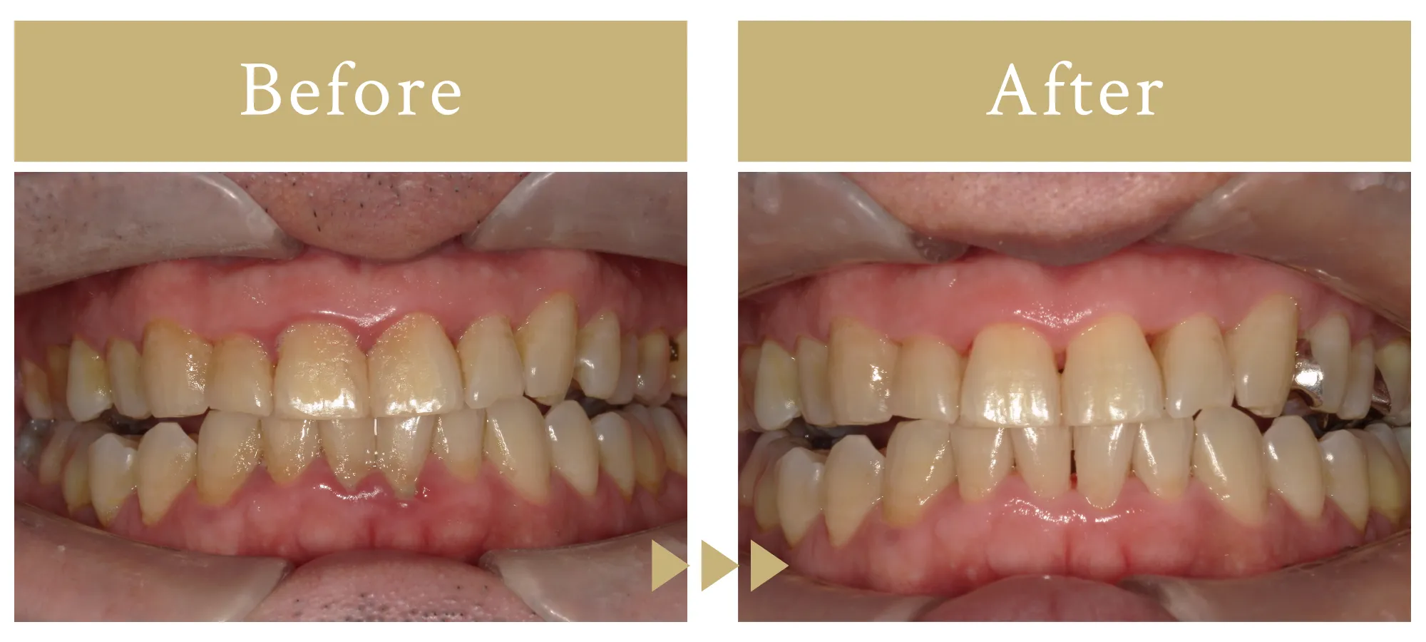
全顎的な歯周病治療

全顎的な歯周病治療

/

患者様情報

40代男性MK

治療概要

軽度から中等度の歯周病に対して全顎的な歯周病治療を行いました。
(歯周病治療と並行して虫歯治療と親知らずの抜歯を行っています)

精密歯周病治療について

治療費用・期間

9,000円/3ヶ月

リスク・副作用

一時的な知覚過敏、咬合痛、咬合時の違和感

担当歯科医師

エス歯科クリニック横浜みなとみらい 医局長 長野 玲恵子

資格 Qualification

資  格:
出身大学:国立東京医科歯科大学歯学部

▼経歴
・豊島岡女子学園高等学校 卒業
・国立東京医科歯科大学 歯学部 卒業
・東京大学医学部附属病院 研修修了

ドクターコメント Doctor comment

患者さまご自身で治療法を選択できるようにわかりやすく状態のご説明から行います。
症状のある部位だけでなくお口の中全体を背景とし、適切な治療計画をご提案できるようお一人おひとりと向き合ってお話しさせていただいております。
お気軽にご相談にいらして下さい。

Medical

当院は虫歯・歯周病の治療からインプラント、矯正、予防歯科、顕微鏡治療まで幅広い診療項目に対応しています。

矯正歯科(歯列矯正)アイコン

矯正歯科(歯列矯正)

美容歯科アイコン

美容歯科

審美歯科アイコン

審美歯科

一般歯科アイコン

一般歯科

小児歯科アイコン

小児歯科

予防歯科アイコン

予防歯科

精密根管治療アイコン

精密根管治療

精密歯周病治療アイコン

精密歯周病治療

インプラントアイコン

インプラント

スポーツマウスガードアイコン

スポーツ
マウスガード

精密入れ歯アイコン

精密入れ歯

エス歯科クリニック 横浜みなとみらい

住所

220-0011
神奈川県横浜市西区
高島1丁目2-5
横濱ゲートタワー 1F

最寄駅

横浜駅 東口より徒歩5分
新高島駅より徒歩2分

駐車場

同施設のコインパーキングをご利用ください

支払い方法

現金/クレジットカード/PayPay

09:30〜13:00
14:30〜19:30
お電話でのお問い合わせ

045-264-9222

ご予約はこちら
WEB初診予約

BACK TO TOP

WEB予約アイコン

WEB予約

LINE予約アイコン

LINE予約

お電話アイコン

お電話