220-0011
神奈川県横浜市西区
高島1丁目2-5
横濱ゲートタワー 1F

電話マーク

お電話

メニュー

メニューから探す

ホワイトニングに関する症例一覧

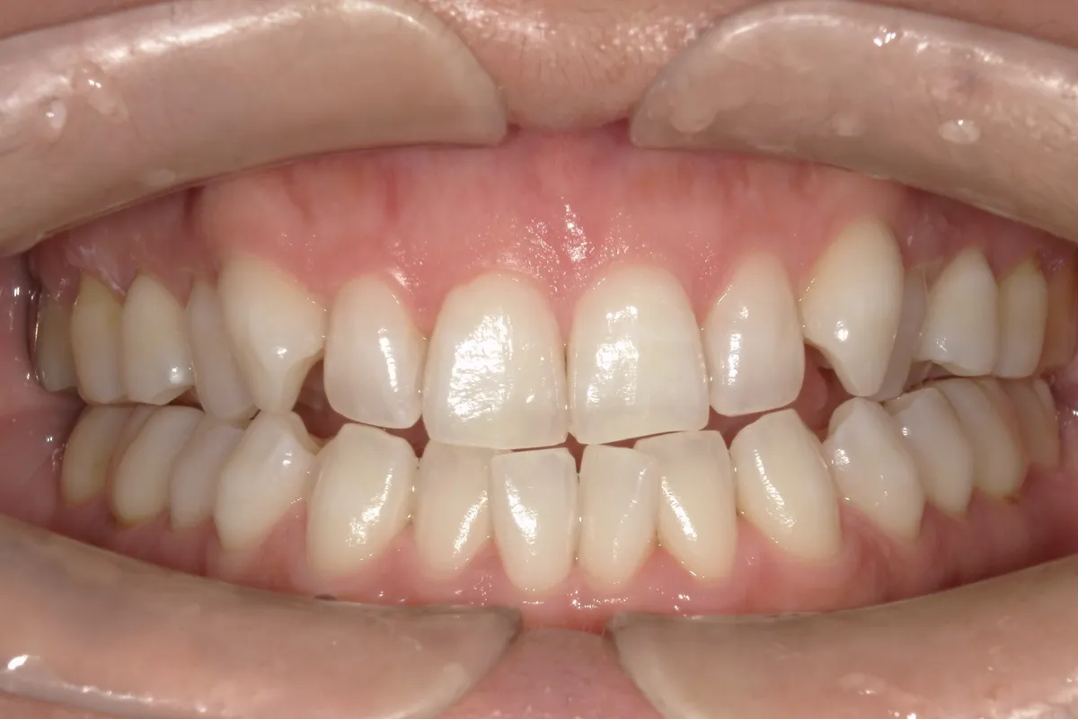
ホワイトニングコース(3クール)

治療期間の目安
-
治療回数の目安
3回
治療費総額の目安
120,000円

  患者様情報 40代女性 患者様のお悩み 歯を白くしたい 治療概要 ホームホワイトニングとオフィスホワイトニングを併用したホワイトニングコースです。 ホワイトニングについて 治療費用・期間 12万円(税込) […]

詳細を見る

インプラント治療で負担の少ないバランスの良い噛み合わせを作る

治療期間の目安
1年6ヶ月
治療回数の目安
-
治療費総額の目安
¥6,358,000(税込)

患者様情報 50代男性 患者様のお悩み 奥歯の調子が悪く、インプラント治療を検討。他、全顎的な治療を希望 治療概要 左臼歯部には欠損歯があり、左右の噛み合わせのバランスが悪いため、負担がかかり歯根が破折していました。 前 […]

詳細を見る

ホワイトニングコース(3クール)

治療期間の目安
1ヶ月半
治療回数の目安
5回
治療費総額の目安
12万円

患者様情報 30代男性TY 治療概要 ホームホワイトニングとオフィスホワイトニングを併用したホワイトニングコースです。 ホワイトニングについて 治療費用・期間 12万円/1ヶ月半 リスク・副作用 一時的な知覚過敏、歯肉の […]

詳細を見る

前歯の八重歯に対するインビザライン矯正治療

治療期間の目安
約8ヶ月
治療回数の目安
約10回
治療費総額の目安
1,079,750円

患者様情報 20代女性 患者様のお悩み 八重歯が気になる、できればマウスピース矯正で治したい 治療概要 インビザライン・マウスピース矯正、ホームホワイトニング 提案内容 歯が並ぶスペースが不足していることで歯列の叢生(で […]

詳細を見る

歯並びだけでなく、 虫歯治療や審美歯科を”トータルプロデュース”

治療期間の目安
1年1ヶ月
治療回数の目安
治療費総額の目安
94万円

治療概要 インビザライン・ホワイトニング・審美歯科 まず、矯正治療の前準備として、歯のクリーニング、虫歯と銀歯の治療を行い、虫歯治療終了後、目立たない矯正治療「インビザライン」を行いました。 それと同時にご自宅でできるホ […]

詳細を見る

Medical

当院は虫歯・歯周病の治療からインプラント、矯正、予防歯科、顕微鏡治療まで幅広い診療項目に対応しています。

矯正歯科(歯列矯正)アイコン

矯正歯科(歯列矯正)

美容歯科アイコン

美容歯科

審美歯科アイコン

審美歯科

一般歯科アイコン

一般歯科

小児歯科アイコン

小児歯科

予防歯科アイコン

予防歯科

精密根管治療アイコン

精密根管治療

精密歯周病治療アイコン

精密歯周病治療

インプラントアイコン

インプラント

スポーツマウスガードアイコン

スポーツ
マウスガード

精密入れ歯アイコン

精密入れ歯

エス歯科クリニック 横浜みなとみらい

住所

220-0011
神奈川県横浜市西区
高島1丁目2-5
横濱ゲートタワー 1F

最寄駅

横浜駅 東口より徒歩5分
新高島駅より徒歩2分

駐車場

同施設のコインパーキングをご利用ください

支払い方法

現金/クレジットカード/PayPay

09:30〜13:00
14:30〜19:30
お電話でのお問い合わせ

045-264-9222

ご予約はこちら
WEB初診予約

BACK TO TOP

WEB予約アイコン

WEB予約

LINE予約アイコン

LINE予約

お電話アイコン

お電話